快速導覽:找到你需要的解答
手臂突然冒出幾塊紅腫,癢得讓人坐立難安,你以為是被蚊子咬,結果範圍越擴越大。這很可能就是蕁麻疹。我朋友阿偉上次聚餐吃完海鮮,半夜全身起紅疹,嚇得直奔急診,結果醫生看了一眼就說這是典型的急性蕁麻疹。在台灣,根據台灣皮膚科醫學會的資料,大概每五個人就有一人一生中至少經歷一次。它來得像一陣風,讓人措手不及,但你真的了解它嗎?
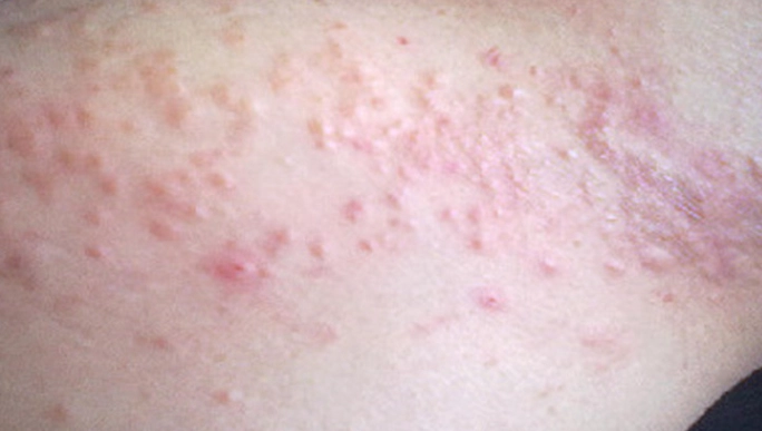
一秒辨識:這就是蕁麻疹的長相
很多人把濕疹、蚊蟲叮咬和蕁麻疹搞混。蕁麻疹有個綽號叫「風疹塊」,很傳神。它的典型症狀就三樣:紅、腫、癢。
那個腫起來的塊狀物,醫學上叫「膨疹」,邊界很清楚,像地圖上的島嶼。你用手去按壓,中心會暫時變白。最詭異的是它的「游移性」,可能上半小時在手臂,下半小時就跑到大腿,原處消失得無影無蹤,彷彿從沒出現過。這種來去如風的特性,是診斷的重要線索。
不只是過敏:盤點蕁麻疹的七大觸發因子
一提到蕁麻疹,九成的人只想到食物過敏。這觀念太淺了。它的發動機非常多元,我把它們歸類成七個常見的觸發因子:
- 食物與添加物: 帶殼海鮮、堅果、蛋、奶是經典。但很多人忽略加工食品裡的防腐劑(如亞硫酸鹽)、色素(如黃色四號、五號)。我遇過一個案例,患者每次吃特定品牌的科學麵就發作,問題就出在添加物。
- 藥物: 抗生素(特別是盤尼西林類)、止痛藥(如阿斯匹靈、NSAIDs)、顯影劑。有時服藥後一兩週才出現,容易誤判。
- 感染: 感冒、牙齦發炎、尿道感染、幽門螺旋桿菌。細菌或病毒本身就在刺激免疫系統。
- 物理性刺激: 這是容易被忽略的一塊。包括壓力(皮膚被腰帶、內衣肩帶壓到)、搔抓(自己抓出來的)、寒冷、陽光、運動流汗(膽鹼性蕁麻疹)、接觸水(水源性蕁麻疹)。
- 吸入物: 花粉、塵蟎、黴菌孢子、寵物皮屑。
- 內在疾病: 甲狀腺功能異常、自體免疫疾病(如紅斑性狼瘡)、慢性感染。
- 情緒與壓力: 這不是心理作用。長期壓力會直接導致免疫失調,是慢性蕁麻疹的常見推手。
找出你的觸發因子,就像破案。建議養成「症狀日記」的習慣,記錄發作前24小時內吃的食物、接觸的物品、活動和情緒狀態,連續記錄幾次,模式就會浮現。
急性與慢性蕁麻疹的關鍵分水嶺
以六週為界。發作時間少於六週是急性,超過就是慢性。這不只是時間長短,根本是兩種不同的管理思維。
| 比較項目 | 急性蕁麻疹 | 慢性蕁麻疹 |
|---|---|---|
| 持續時間 | < 6週 | > 6週 |
| 常見原因 | 特定過敏原(食物、藥物、感染) | 多為「自發性」或「自體免疫性」,難找到單一原因 |
| 治療目標 | 消除誘因,快速控制症狀 | 長期控制,提升生活品質,學習共處 |
| 用藥策略 | 短期口服抗組織胺,必要時用類固醇 | 長期、規律服用抗組織胺,劑量可能調整,或使用生物製劑 |
| 患者心態 | 尋求「根治」這次發作 | 調整為「慢性病管理」模式 |
急性蕁麻疹像一場火災,找到火源(過敏原)撲滅就好。慢性蕁麻疹則像房間裡有個敏感的火災警報器,一點煙霧(可能是壓力、溫度變化)就大響,你需要的是調整警報器的敏感度,而不是永遠找不到煙霧來源。
癢到崩潰時,四步驟立即緩解
當癢感排山倒海而來,理智線快斷掉時,照著這個順序做:
第一步:立刻停止搔抓
我知道這很難,但搔抓會刺激皮膚釋放更多組織胺,陷入「越抓越癢,越癢越抓」的惡性循環。改用指尖「輕拍」或「按壓」癢處,給大腦一個替代的刺激信號。
第二步:局部物理降溫
用毛巾包裹冰袋或冰鎮的鋁罐飲料,敷在膨疹處5到10分鐘。低溫能讓血管收縮,減緩組織胺釋放,並暫時麻痺神經末梢,止癢效果最快、最安全。千萬別熱敷。
第三步:服用備用藥物
如果醫師之前有開立抗組織胺(如 Cetirizine、Loratadine、Fexofenadine),立刻吃一顆。這類新型藥物嗜睡副作用低,是緩解症狀的主力。
第四步:創造涼爽環境
打開冷氣或電風扇,穿上寬鬆、柔軟的純棉衣物。任何對皮膚的摩擦和悶熱都會加劇癢感。暫時避免泡熱水澡或激烈運動。
就醫前準備:這樣看醫生才有效
與其到診所只說「醫生,我皮膚癢」,不如做好準備,讓診斷效率倍增。
- 拍下照片: 用手機拍下皮疹最嚴重時的樣貌,包括特寫和全身分布。因為就醫時皮疹可能已經消退。
- 列出時間軸: 何時開始?變化速度多快?哪個部位先出現?
- 攜帶你的「症狀日記」: 發作前吃的所有東西、新用的保養品或洗衣精、正在服用的藥物(包括中藥、保健食品)、最近的健康狀況(有無感冒)、壓力事件。
- 想好要問的問題: 例如「這可能是什麼引起的?」、「我需要做過敏原檢測嗎?」、「藥要吃多久?如何減量?」、「日常生活要注意什麼?」。
根據衛生福利部的用藥指南,醫師的治療通常是階梯式的:從第二代抗組織胺開始,若效果不佳會增加劑量或合併不同種類,再接下來才會考慮短期的口服類固醇,或最新的生物製劑(如 Omalizumab)。
專家QA:關於蕁麻疹的深度疑問
讀者常問的幾個難題
立即冰敷是最有效且安全的方法,用毛巾包裹冰袋敷在患處5-10分鐘,能收縮血管、鎮定神經末梢。切忌熱敷或泡熱水,那只會讓血管擴張更癢。口服抗組織胺是醫學上最核心的止癢武器,若手邊有醫師開立的藥,應立即服用。很多人擔心留疤,其實單純的蕁麻疹風疹塊消退後,皮膚會完全恢復正常,不會留疤。真正的皮膚傷害來自於過度搔抓導致的破皮和感染,那是後天造成的,不是蕁麻疹本身。所以,管理好你的雙手,比什麼都重要。
超過六週定義為慢性蕁麻疹,這確實代表免疫系統處於一個較不穩定的狀態,但先別過度恐慌,這不直接等於罹患了癌症或絕症。多數慢性蕁麻疹屬於「自體免疫性」或「自發性」,意思是免疫系統錯把自身組織當成敵人攻擊。它更像一個長期需要被安撫、調節的「警報系統」。診斷重點在於排除其他可能伴隨蕁麻疹的疾病,例如甲狀腺問題、自體免疫疾病(如紅斑性狼瘡)等。醫師通常會安排抽血檢查。治療策略會轉向長期、低劑量的抗組織胺,甚至使用生物製劑,目標是控制症狀、提升生活品質,而非追求「斷根」。心態上要把它當成高血壓、糖尿病這類慢性病來管理,學習與之共處。
這很可能是「膽鹼性蕁麻疹」的典型表現。這種蕁麻疹的觸發因子不是過敏原,而是體溫上升。當你運動、情緒激動、吃辣食物或洗熱水澡時,核心體溫升高,刺激神經釋放乙醯膽鹼,從而引發微小、劇癢的點狀丘疹。這不是惡化,而是特定亞型。處理方式與一般蕁麻疹不同:避免在發作期間進行劇烈運動、水溫不宜過熱。運動前可預先服用抗組織胺(請諮詢醫師)。選擇寬鬆、吸汗的棉質衣物,運動後盡快用涼水沖澡降溫。認清這個類型,你就能更好地預測和避開發作情境,而不是一味地恐懼所有運動。
這是門診最常見的迷思之一。首先,抗組織胺不是類固醇,它「不會」產生所謂的成癮性依賴。你身體不會渴望它。其次,醫學上更準確的說法是「藥效減弱」,而非「抗藥性」。少數患者長期使用同一種藥,效果可能變差,這通常是因為病情本身變化或個體差異。解決方法很簡單:醫師可以幫你換用不同類別的第二代抗組織胺,或合併使用。新一代的藥物嗜睡副作用極低,安全性高,正是為了長期控制慢性蕁麻疹而設計。擅自停藥導致症狀反覆發作,對生活的影響遠大於規律服藥。請將它視為控制症狀的「維穩工具」,並在醫師指導下調整,而不是恐懼它。
蕁麻疹雖然惱人,但並不可怕。可怕的是對它一無所知,盲目恐慌或使用偏方。理解症狀背後的機制,學會正確的應對步驟,與醫師建立良好的合作關係,你就能從被動的受害者,轉為主動的管理者。皮膚的警訊,也是身體提醒你該好好檢視生活壓力的機會。