刷牙時看到牙刷上或水槽裡淡淡的血絲,吃東西感覺牙齦腫腫刺刺的,很多人第一個念頭就是:「啊,又火氣大了。」然後想著多喝水、睡飽一點應該就會好。這就是大家最常問的問題:牙齦發炎會自己好嗎?
我必須先給你一個直接的答案:有可能,但條件非常嚴格。 這完全取決於你所謂的「自己好」是什麼意思,以及發炎的根本原因是什麼。如果你只是期待身體的免疫力壓制它,而繼續維持原本可能不當的口腔清潔習慣,那麼「暫時緩解」後幾乎肯定會復發,甚至不知不覺變得更嚴重。
📋 快速導覽:這篇文章幫你解決什麼?
為什麼牙齦會發炎?先搞懂原因
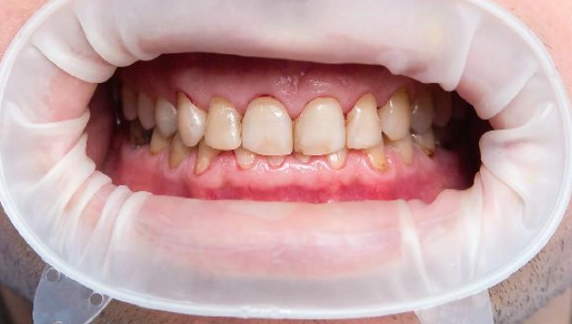
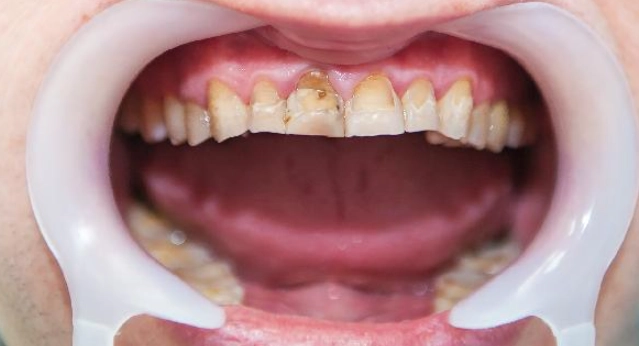
牙齦發炎,九成以上的元兇是牙菌斑。這不是什麼髒東西,它就是一個由細菌組成的生態系,黏附在你的牙齒和牙齦邊緣。如果你沒有及時、有效地清除它,細菌的代謝產物就會刺激牙齦組織,引發免疫反應——也就是紅、腫、熱、痛、以及容易出血的發炎狀態。
很多人忽略了一點:牙菌斑如果不清除,大約24-72小時內就會開始礦化,變成牙結石。牙結石就像粗糙的珊瑚礁,表面多孔,讓更多細菌容易附著,而且你靠刷牙是刷不掉的。一旦形成牙結石,它本身就會持續物理性刺激牙齦,同時成為細菌的堡壘,讓發炎進入惡性循環。
一個常見的誤區: 很多人以為牙齦流血是因為刷牙太用力。事實上,健康的牙齦就像緊實的蕃茄皮,不容易刷破。會流血,正是因為它已經處於發炎狀態,組織變得脆弱。正確的刷牙並不會導致健康牙齦出血。
其他比較少見但可能的原因包括:
- 荷爾蒙變化: 例如懷孕期間的妊娠性牙齦炎。
- 某些藥物影響: 如抗癲癇藥、部分降血壓藥可能導致牙齦增生。
- 營養缺乏: 長期嚴重缺乏維生素C(壞血病)會導致牙齦嚴重出血紅腫,但現代已較少見。
- 全身性疾病: 如未受控制的糖尿病,會讓身體對抗感染的能力下降,牙齦發炎更難控制。
所以,當你問「會自己好嗎」,首先要判斷你的發炎是單純由「可被清除的軟性牙菌斑」引起,還是已經進展到有「不可自行清除的牙結石」參與。前者有機會,後者則不可能。
如何在家初步處理牙齦發炎?
假設你只是感覺牙齦有點腫脹,刷牙時微微出血,沒有劇烈疼痛或化膿,你可以先嘗試以下自救三步驟,觀察2-3天:
第一步:徹底但溫和地清潔
關鍵不是用力,而是方法正確與清潔到位。很多人只刷「牙齒」,卻忽略了牙齦與牙齒交界的「牙齦溝」。這裡正是牙菌斑的大本營。
- 牙刷角度: 將刷毛對準牙齒與牙齦交界處,呈45度角,讓刷毛一部分進入牙齦溝。
- 動作: 以小幅度的水平震動(一次2-3顆牙的範圍)來回刷,而不是大範圍橫刷。每個區域刷10-15下。
- 工具輔助: 務必使用牙線或牙間刷。牙縫是牙刷永遠清潔不到的死角。使用牙線時,要緊貼單顆牙齒的側面,呈「C」字形刮除污垢,而不是像拉鋸子一樣直接壓進牙齦。
我見過太多病人說自己每天用牙線,但一檢查,牙縫靠近牙齦處的牙菌斑根本沒清掉,因為他們只是把牙線「塞進去再拉出來」,做了無效工。
第二步:使用輔助漱口水
在急性發炎期,可以短期(通常不超過一週)使用含有氯己定(Chlorhexidine)成分的漱口水。它能有效抑制牙菌斑生長。但注意,長期使用可能導致牙齒染色或味覺改變,所以最好在醫師或藥師建議下使用。日常維護則可選擇含氟或草本配方的漱口水。
第三步:調整生活習慣
減少攝取高糖分、黏性強的食物,這類食物是牙菌斑細菌的最愛。多喝水,幫助口腔自潔。確保充足睡眠,壓力過大確實會影響免疫力,讓牙齦發炎更難控制。
注意: 自救處理期間,如果出血情況在正確清潔3天後沒有改善甚至加劇,或者出現下面提到的任何警訊,請立即停止「觀察」,直接尋求專業協助。
出現哪些警訊必須看醫生?
別再硬撐了。當出現以下任何一種情況,表示你的牙齦發炎已經無法「自己好」,必須由牙醫師介入處理:
| 警訊症狀 | 可能代表的問題 | 為什麼不能等? |
|---|---|---|
| 牙齦自發性出血(沒碰它就流血) | 發炎已相當嚴重,組織極度脆弱。 | 可能是嚴重牙周病的早期徵兆。 |
| 牙齦嚴重紅腫、化膿 | 已形成牙齦膿瘍,細菌感染加劇。 | 感染可能擴散,引起蜂窩性組織炎。 |
| 牙齒搖動、牙縫變大 | 發炎可能已破壞齒槽骨(牙周病)。 | 骨頭流失是不可逆的,越早治療越能保留。 |
| 持續性口臭,清潔無法改善 | 牙結石深處或牙周囊袋內的細菌產生異味。 | 根源性問題未解決,社交與健康雙重困擾。 |
| 牙齦萎縮,牙根敏感 | 長期慢性發炎導致牙齦組織破壞、後退。 | 萎縮的牙齦很難完全長回,牙根暴露易蛀。 |
我常對病人說,牙齦發炎就像是房子的警報器響了。你可以選擇關掉警報器(不理它或只吃消炎藥),或者去檢查到底是什麼觸發了警報(找牙醫找出根本原因)。前者只是暫時安靜,火苗可能還在悶燒;後者才能真正解決問題。
牙醫師會如何治療牙齦炎?
別怕看牙醫。對於單純的牙齦炎,治療過程並不恐怖,而且非常有效。核心目標就是移除病因——牙菌斑和牙結石。
主要治療是牙結石清除(俗稱洗牙)。牙醫師會用超音波洗牙機頭,利用震動將附著在牙齒表面和牙齦下方的牙結石震碎、沖洗掉。這個過程可能會有些酸軟感,尤其是牙結石多或牙根敏感的人,但通常不需要麻醉。
很多人有個迷思,認為「洗牙會把牙縫洗大」、「把琺瑯質洗薄」。這完全是誤解。洗掉的本來就不屬於你的東西(牙結石)。洗牙後覺得牙縫變大,是因為原本被牙結石塞滿的空間被清空了;覺得牙齒敏感,是因為牙結石長期覆蓋的牙根表面突然暴露。這些都是恢復健康的必經過程,幾天後適應就會改善。
如果發炎較深,牙醫師可能會進行牙根整平術,在局部麻醉下,更深入地清潔牙根表面,讓發炎的牙齦有機會重新緊貼牙齒。治療後,醫師會再次教你正確的清潔方法,因為後續的居家維護才是治療能否成功的關鍵。
如何預防牙齦發炎復發?
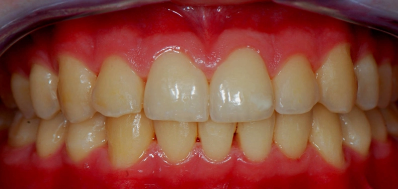
治療後,牙齦恢復健康的粉紅色、緊實、刷牙不再出血。但要維持這個狀態,你得建立新的習慣。預防復發沒有捷徑,就是做好每日清潔和定期回診。
- 每日功課: 早晚正確刷牙各一次,晚上刷牙後一定要用牙線或牙間刷徹底清潔牙縫。這是鐵律。
- 定期檢查: 每半年到一年回牙科診所洗牙並檢查。即使你清潔得再認真,總有些死角會堆積牙結石,需要專業工具清除。根據國民健康署的建議,定期口腔檢查是維持口腔健康的重要一環。
- 觀察變化: 再次出現刷牙出血,就是牙齦給你的第一個警告,提醒你該加強清潔或預約看醫生了。
把口腔清潔當成每天必須完成的保養程序,就像洗澡一樣自然。投資時間在預防上,遠比未來花大錢和忍受不適治療牙周病要划算得多。
常見問題深度解析
總歸一句,牙齦發炎是身體發出的明確信號。輕微時,透過加強正確清潔,它有機會恢復穩定。但當症狀明顯或持續,這信號就是在告訴你,需要專業的幫手了。與其糾結「會不會自己好」,不如主動採取正確行動,這才是對你口腔健康最負責任的態度。